A szívmegnagyobbodás többnyire szív-érrendszeri betegségek tünete, következménye, de más állapotok velejárója is lehet. Kialakulására nagyobb az esély azoknál, akik közeli rokonainál (szülők, testvérek) már szerepel ez a tünet. A kiváltó betegségek közül az alábbiak a leggyakoribbak.
Magas vérnyomás: Az egyik leggyakoribb krónikus betegség, és egyben a szívmegnagyobbodás egyik fő kiváltó oka. Mivel magas vérnyomás esetén a szívnek erőteljesebben kell pumpálnia ahhoz, hogy a vér a test minden részébe eljuthasson, hatására a szívizom megvastagodik.
Szívbillentyűzavarok: A szíven belül négy billentyű biztosítja, hogy a vér áramlása mindig a megfelelő irányban történjen. Ha a billentyűk valamilyen ok – például reumás láz, szívhiba, fertőzés (például szívbelhártya-gyulladás), kötőszöveti rendellenesség, bizonyos rákgyógyszerek vagy sugárkezelés – miatt károsodnak, a szív normális működésének biztosításához a szívizomnak ugyancsak nagyobb munkát kell kifejtenie és emiatt megnagyobbodik.
- Az aortabillentyű a bal kamra és a főverőér találkozásánál található, és arról gondoskodik, hogy amikor a szív elernyed, a vér ne áramoljon vissza a kamrába. Billentyűszűkület esetén a szükségesnél kisebb keresztmetszet miatt egy összehúzódáskor kevesebb vér áramlik ki a bal kamrából, amit a szívizomnak több munkával kell kompenzálnia. Billentyűelégtelenségben a billentyű nem zár tökéletesen, ezért a vér visszaáramlik a bal kamrába, a szívizomnak pedig ismét nagyobb munkába telik a megnövekedett mennyiségű vér kipréselése.
- A bal kamra és pitvar közötti kéthegyű (mitrális) billentyű gyakori elváltozása a pitvarba történő beboltosulása (mitralis prolapsus), ami miatt nem zár tökéletesen, és az összehúzódások során vér szivároghat vissza a bal pitvarba (ez a mitralis regurgitatio). Ez önmagában az esetek többségében ártalmatlan jelenség, de ha a visszaáramló vér nagy mennyiségű, az növelheti a vérnyomást a tüdővénákban, ami folyadékpangáshoz vezethet a tüdőben, illetve a bal pitvar és kamra kitágulhat.
Szívizom-elfajulás (kardiomiopátia): A betegséget a szívizom szerkezeti és működésbeli károsodása jellemzi, ami a szív pumpafunkciójának, teljesítményének gyengüléséhez vezet. Emiatt a szerv nem képes megfelelően megtelni és elegendő vért átpumpálni magán, és nem tud a szervezet normális működéséhez elegendő tápanyagot és oxigént biztosítani a sejteknek.
Három fő típusa van, ezek közül a leggyakoribb a dilatatív (kitágulásos) kardiomiopátia, amely a kamrák – többnyire a bal – kitágulásával és emiatt a szív nagyobbodásával jár, és többnyire koszorúér-szűkület következtében alakul ki. A hipertrófiás (megvastagodásos) típusra a kamrák falának megvastagodása és merevvé válása jellemző. A harmadik, ún. restriktív típus, amely a legritkább a három közül, szintén a kamrák falának megvastagodásával jár, ám a szív megnagyobbodása nem automatikus velejárója.
A kardiomiopátia hirtelen és fokozatosan is kialakulhat, bármely életkorban, bár időseknél gyakoribb. Kiválthatja koszorúér-betegség, szívizom-gyulladás, vírusos vagy bakteriális fertőzés, mérgezés (pl. alkohol, vegyszerek okozta), diabétesz vagy pajzsmirigybetegség is. Tünetei a fáradékonyság, légszomj, étvágytalanság, fogyás, ha pedig fertőzés váltja ki, láz és influenzaszerű tünetek léphetnek fel. Hatására nő a szívelégtelenség, a vérrögképződés, a stroke (agyérkatasztrófa) és a tüdőembólia, valamint a szívritmuszavar és a halálozás rizikója.
Szívroham:A szívizomszövet károsodásával vagy elhalásával jár, amit később merevebb és nagyobb kiterjedésű hegszövet vált fel, illetve a károsodott szív azért is válhat nagyobbá, hogy ellensúlyozza a csökkent pumpafunkciót. A szívrohamon átesett betegek rosszabb prognózissal kell számoljanak, ha szívük megnagyobbodott, ugyanakkor a szívroham rizikója is eleve magasabb szívmegnagyobbodás esetén.
Veleszületett (kongenitális) szívibák:A szív magzati korban történő fejlődése során kialakulhatnak olyan anatómiai eltérések, amelyek hatással lehetnek a szív méretére is. Ezeket többnyire csak műtéti úton lehet kezelni, ami a probléma típusától és súlyosságától függően igényelhet a születés utáni azonnali beavatkozást is, de van, hogy az csak évekkel később válik szükségessé.
- Ilyen a két kamrát elválasztó sövény folytonossági hiánya (ventrikuláris szeptum defektus), ami miatt a vér a nagyobb nyomású bal kamrából átáramlik a jobb kamrába, amelynek fala a megnövekedett terhelés miatt megvastagodik, és kitágul. Később a bal kamrában is végbe mehet ez a folyamat. - A fentihez hasonló sövényhiány a pitvarok elválasztó falában is előfordulhat, ez az atriális/pitvari szeptum defektus, amely szintén a szív megnagyobbodásához, jellemzően a jobb kamra kitágulásához vezet.
- Létezik egy ér (a ductus arteriosus, más néven Botallo vezeték), amely a magzatban az aortát és a tüdőverőeret köti össze, és a születés után normális esetben pár napon belül elzáródik. Kóros esetben – például koraszülötteknél – azonban nyitva maradhat, ekkor nyitott ductus arteriosusról van szó (latinul ductus arteriosus persistens), ami más következmények mellett a kamrafalak megvastagodással és a szív megnagyobbodásával jár.
- A Fallot-tetralógia négyféle szívhiba együttes meglétével jár, melyek egyike a jobb kamra falának megvastagodása. Jellemző tünete a csecsemő elkékülése.
- A szív valamely üregének kitágulását a szívbe torokolló erek egy-egy szakaszának szűkülete is kiválthatja. Az aortaszűkület (coarctacio aortae) miatti fokozott izommunka a bal szívfél, a tüdőverőér-szűkülettel (pulmonalis stenosis) járó megterhelés pedig a jobb szívfél megnagyobbodásához vezetnek.
Szívritmuszavar: A normálistól eltérő szívritmus miatt előfordulhat, hogy a szív nem képes elég hatékonyan pumpálni, amit extra munkával kell kompenzálnia, ez pedig szintén növelheti a szív méretét.
Pulmonális hipertónia: A tüdőartériákban normális esetben viszonylag alacsony a vérnyomás, ha azonban kórosan magasra nő, az nagy terhelést jelent a jobb szívfélre, ennek hatására pedig a jobb kamra megnagyobbodik, fala megvastagodik. Ez a cor pulmonale, ami a jobb szívfél elégtelenségéhez vezethet. A pulmonális hipertóniát általában tüdőbetegségek, például krónikus obstruktív tüdőbetegség (COPD) váltják ki.
Kóros vérszegénység (anémia): Az oxigént szállító vörösvértestek elégtelen mennyisége miatt krónikus esetben a szív fokozott munkára kényszerül, hogy a sejtek elegendő oxigénhez tudjanak jutni. Ez a plusz megterhelés ritkán – hosszú ideig fennállva, kezelés nélkül – szívritmuszavarhoz, szívmegnagyobbodáshoz, szívelégtelenséghez vezethet.
Pajzsmirigybetegségek: A fontos hormontermelő szerv alul- és túlműködése egyaránt okozhat különféle szívproblémákat, köztük szívmegnagyobbodást. Túlműködése a szívet túlzott munkára készteti, alulműködése pedig a szívizmok működéséhez szükséges hormonok alacsony termelődéséhez vezet.
Hemokromatózis: A vas túlzott felszívódásával járó örökletes betegség miatt a vas felhalmozódik a szervekben, köztük a szívben is, ami miatt gyengül a szívizom és a bal kamra megnagyobbodhat, de kialakulhat szívelégtelenség is.
Amiloidózis: A ritka betegség lényege, hogy a szövetekben és szervekben azok működését károsító oldhatatlan fehérjék, amiloidok szaporodnak fel. A szívben való felhalmozódásuk szívmegnagyobbodáshoz vezethet.
Nyugtalan láb szindróma: A neurológiai betegséget ellenállhatatlan, az alsó végtag mozgatására irányuló kényszer jellemzi amikor a beteg nyugalomban van. Nemrégiben végzett kutatások kimutatták, hogy az érintetteknél a szív bal kamrájának fala megvastagodhat, ezért náluk szívproblémára utaló tünetek nélkül is érdemes lehet kardiológiai kivizsgálást végezni.
Mint láthattuk, a szív megnagyobbodása szinte sosem fordul elő önmagában, a szív más eltérései nélkül, amik pedig súlyos szövődményekhez vezethetnek. Ezek közé tartozhat a szívkoszorúér-betegség, stroke, szívinfarktus, szívelégtelenség, szívleállás, hirtelen szívhalál, és összességében a halálozás magasabb rizikója.
A bal kamra kitágulásának következménye lehet szívelégtelenség, szívritmuszavar, a szívizom keringési zavara, szívinfarktus, a jobb kamra megnagyobbodásának pedig jobbszívfél-elégtelenség, illetve vénás pangás a lábakban, tüdőben, májban és a bélrendszerben.
A bal pitvar megnagyobbodása esetén nő a pitvarfibrilláció rizikója, ami a leggyakoribb szívritmuszavar. Ilyenkor a szabályos szívverés helyett a pitvar a szokásos ritmikus működés helyett szabálytalanul remeg, fibrillál, és a beteg azt érzi, hogy szíve össze-vissza kalimpál, valamint légszomja lehet. A remegés átterjedhet a szív egészére, és az összehúzódások egyenetlenné válhatnak, ami miatt nőhet a vérrögképződés esélye, ez pedig szívelégtelenséghez, stroke-hoz vezethet.
Többször említettük a szívelégtelenséget, ami a szív olyan mértékű meggyengülését jelenti, amikor nem képes elegendő vért szállítani a szervekbe, ez pedig végső soron halálos lehet. A szívelégtelenség érintheti külön-külön az egyes kamrákat és szívfeleket, vagy az egész szervet, és lehet akut vagy krónikus. Tünetei a légszomj, fulladásérzet, nehézlégzés, étvágytalanság, köhögés, lábduzzanat. Előfordulása az életkor előrehaladtával nő; kezelése véglegets javulást nem hoz, és halálozása igen magas.
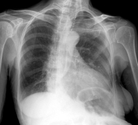
A szív megnagyobbodása sokszor mellkasröntgen-felvételen tűnik fel, de az azt kiváltó pontos elváltozás diagnózisának felállításához más vizsgálatokra, a szív funkcióit kimutatni képes EKG- (elektrokardiográfia) vagy echokardiográfia-vizsgálatra is szükség van, illetve sor kerülhet CT-re, MRI-re, angiográfiára, biopsziára és vérvizsgálatokra is.
Megelőzni nem minden esetben lehetséges a szívmegnagyobbodást, de általában kezelhető – annál sikeresebben, minél korábban veszik észre, ezért szédülés, súlyos légszomj vagy mellkasi fájdalom esetén fontos minél hamarabb orvoshoz fordulni. A kezelés a kiváltó tényezőre irányul, és gyógyszeres vagy műtét lehetőségeket foglal magában.
A magas vérnyomás okozta szívnagyobbodás többnyire visszafordítható. A betegségre adott egyes gyógyszerek egyrészt a vérnyomás csökkentése, részben más úton képesek a szívizom túltengését is megelőzni, visszafordítani. Ezek mellett a szívritmust szabályozó, a szívműködést segítő, vérrögképződést gátló gyógyszereket kaphat a beteg. A szívbillentyű-eltérések, a szívkoszorúér-betegség sebészi úton oldhatók meg, és van, hogy beültetett eszközökre van szükség a szív működésének biztosításához. Ez a dilatatív kardiomiopátiában szenvedőknél beültetett defibrillátor (ICD) lehet, ami az abnormális szívritmust szünteti meg, szívelégtelenségben pedig ún. bal kamrai keringéstámogató eszköz (LVAD), egy pumpaszerű készülék. Súlyos esetben előfordul, hogy csak a szívátültetés jelent megoldást. Ezek mellett az egészséges életmód és a rendszeres, a testmozgás, a túlsúly leadása is segíthet a szív nagyobbodásához vezető állapotok megelőzésében és visszafordításában.








